
TdB Labs is specialised in the development and manufacturing of dextran derivatives and other polysaccharides.
They offer fluorescent derivatives with FITC, TRITC, ATTO™-dyes and their proprietary Antonia Red™-dye.
Their non-fluorescent derivatives include e.g. different variants of dextran sulfate, including dextran sulfate sodium (DSS) for colitis.
Dextran Sulfates
TdB Labs supplies two different series of dextran sulfates with either high- or low degree of sulfate substitution.
Their high substituted dextran sulfates contain 16-19% sulfate. Their low substituted dextran sulfates have a sulfur content of 8-13%.
The mean molecular weight of or dextran sulfates ranges from 5 kDa to 2000 kDa.
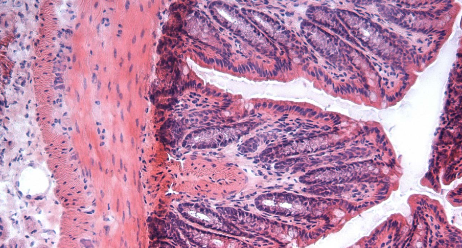
Dextran sulfate sodium for colitis (DSS)
Dextran sulfate sodium (DSS) is the goldened standard for inducing colitis in experimental animals.
DSS is a dextran sulfate with a mean molecular with of 40 kDa and a sulfur content of 17-19 %.
About 40 years ago, TdB Labs was involved in the work that led to the development of colitis-grade DSS.
Blue dextrans
Blue dextran from TdB Labs is labeled with Cibacron blue F3GA.
TdB Labs produces blue dextran with a mean molecular weight ranging from 5 kDa to 2000 kDa.
DBA-ITALIA Srl
Via Umbria 10
20054 Segrate (Milano)
Tel. +39 02-26922300
If you no longer wish to receive these announcements
click here